よく相談を受けるのが「後ろ足を挙げている」 膝蓋骨脱臼 パテラの話
例えば小型犬が、
「後ろ足を挙げている」
「後ろ足の様子がおかしい」
「後ろ足をかばっている」
等々、
疑う疾患の一つが、そう、
膝蓋骨脱臼だ。
よくパテラって言われてる、
あれのことです。
最近は、
飼い主の皆さん、知識があり
パテラって単語は認識済なことが多いようです。
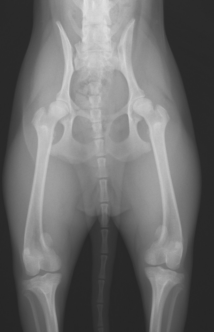
上の写真は、
犬を仰向けにして撮影したレントゲン写真で、
中央に骨盤、そこから大腿骨、脛骨が写っています。
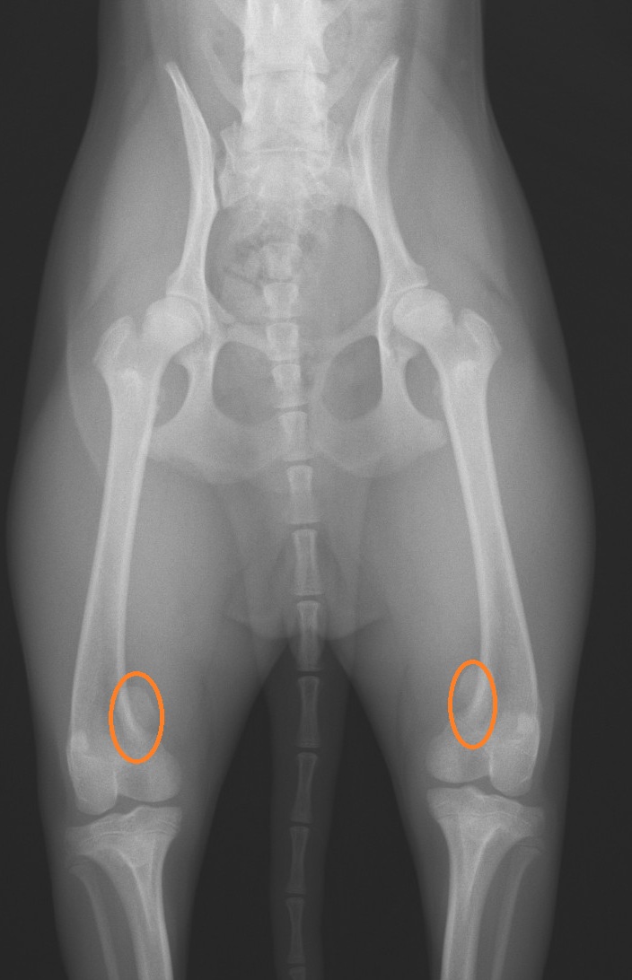
膝蓋骨はというと
オレンジの丸印をつけた
楕円の骨です。
その膝蓋骨が、
大腿骨(太ももの骨)の真上にないといけないのが、
両方ともに内側にずれてしまっています。
正常な位置は緑の丸の位置、
でも、膝蓋骨が
オレンジのところにあるので、
内側に脱臼していることが、
診断できます。
触診で診断できますが、
正確な診断には
レントゲン検査が必須です。
