アロペシアX 第2回「診断について~追加~」
ホルモンに異常があると、
脱毛が起こることがあります。
そこで、
アロペシアXの診断のために、
いくつかのホルモンの異常を検査する必要があります。
- 検査するべきホルモン疾患
- 甲状腺機能低下症
クッシング症候群
性ホルモン異常
犬で多いとされる甲状腺機能低下症。
症状は脱毛以外に、
元気がない、水をよく飲む、神経症状等さまざまです。
検査は比較的容易で、
血液検査で診断ができます。
次に、クッシング症候群。
これは、副腎という臓器から分泌される
ステロイドホルモンが過剰になる疾患です。
症状は脱毛以外に、
水をよく飲む、お腹が張ってくる、食欲が増える、皮膚が薄くなる等でしょう。
検査は、
血液検査と超音波検査等になるのですが、
実は、なかなか難しいところもあります。
水をよく飲んで、尿が多い、
そのような代表される症状の有無と、
超音波検査は必須でしょう。
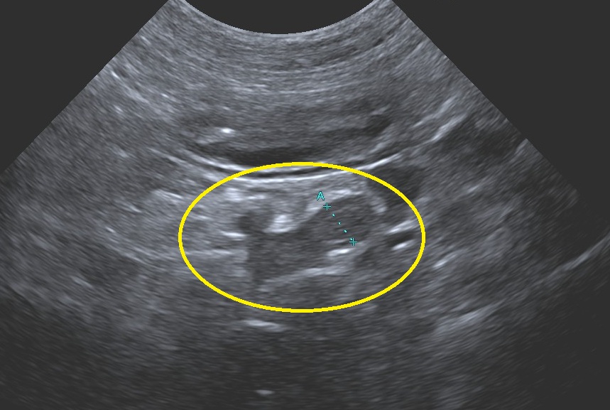
実際の超音波検査画像です。
黄色で囲ったひょうたん型のものが
副腎です。
副腎が大きくなっていると
クッシング症候群を疑います。
加えて、血液検査や尿検査を行うのですが、
これで100%の診断は難しいので、
いくつかの検査を総合して判断することになります。
性ホルモンの異常については、
♀であれば、避妊手術を検討する。
♂であれば、去勢手術を検討する。
ただ、
すでに避妊手術、去勢手術は受けている。
そんな場合がほとんどなので、
あまり問題にはならないことが多いようです。
- 今回のまとめ
- 甲状腺機能低下症
クッシング症候群
この2つの疾患は除外したい。
次の記事はこちら
アロペシアX 第5回「最終回は余談」
アロペシアX 第4回「当院での治療」
アロペシアX 第3回「治療の選択肢」
過去の記事はこちら
アロペシアX 第1回 「診断について」
