アロペシアX 連載にしました 第1回 「診断について」
最近、ご紹介もあり
アロペシアXを主訴に来院される方が増えてきています。
ポメラニアンで、
毛が薄くなってきた。
それ以外に症状はない。
アロペシアXが濃厚ですが、
それだけで診断はしません。
そこで、
アロペシアXシリーズ第1回として、
「診断」について書いてみたいと思います。
- アロペシアXの定義
- 進行性 :脱毛が広がっている
非掻痒性 :痒くない
非炎症性 :脱毛しているところが赤くなっているとかがない
まず、上記に当てはまるかを確かめます。
例えば、痒いのあれば、
掻いていて、舐めていて、
毛が抜けている可能性があります。
その場合は、
アロペシアXではなく、
アレルギー性皮膚炎などを考える必要があるでしょう。
次に、「毛」をみます。
毛の質に変化が見られます。
脱毛の前に、
こちらが先にみられることもあります。
元々は、まっすぐで滑らかな毛が
チリチリとして、
かたく、
ごわごわとした
そんな毛質に変わってしまいます。
羊毛のようなとか、化学繊維毛のようなとか
そんな表現が使われることもあります。
最後に毛を抜いて、
顕微鏡で毛根を観察します。
アロペシアXは、
別名「毛周期停止性脱毛」と呼ばれたりします。
毛の成長が止まっているという意味です。
毛根を調べると、
毛が、成長期(伸びる途中)であるのか、
休止期(伸びなくなっている)であるのかを
判断することができます。
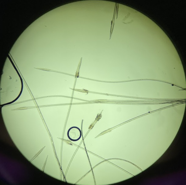
アロペシアXのポメラニアンの
実際の毛根の様子です。
毛根を丸で示しています。
先が折れ曲がらずに、
まっすぐになっています。
これが、休止期の毛根です。
観察した毛が全て休止期です。
毛周期停止性脱毛、アロペシアXと診断してもいいでしょう。
今回のまとめです。
- アロペシアXの診断のポイント
- 進行性、非掻痒性、非炎症の脱毛であること
毛の質に変化があること
毛が休止期であること
過去の記事はこちら
アロペシアX 第5回「最終回は余談」
アロペシアX 第4回「当院での治療」
アロペシアX 第3回「治療の選択肢」
アロペシアX 第2回「診断について~追加~」
